Ο καρκίνος που ανασαίνει μαζί μας: Μπορούμε να τον νικήσουμε;

Με πρόληψη, επαγρύπνηση και τις σωστές ιατρικές επιλογές, μπορεί να αντιμετωπιστεί αποτελεσματικά

Δρ Νικόλαος Γ. Μπαρμπετάκης, MD,PhD, FEBTS,
Χειρουργός Θώρακος,
Διευθυντής Θωρακοχειρουργικής Κλινικής Κυανούς Σταυρός

Ο καρκίνος του πνεύμονα είναι από τις πιο σοβαρές μορφές καρκίνου, αλλά δεν είναι πάντα καταδικαστικός. Σήμερα, η ιατρική επιστήμη έχει προχωρήσει σημαντικά και μας δίνει εργαλεία πρόληψης, έγκαιρης διάγνωσης και αποτελεσματικής χειρουργικής θεραπείας. Η τεχνική 3D-LUMINA που εφαρμόζεται στην Κλινική Euromedica - Κυανούς Σταυρός αποτελεί ένα σημαντικό όπλο στην φαρέτρα του σύγχρονου θωρακοχειρουργού. Η γνώση μπορεί να γίνει δύναμη – και ίσως, σωτήρια ανάσα.

Πρώιμη Διάγνωση: Το «κλειδί» για καλύτερη πρόγνωση

Ο καρκίνος του πνεύμονα συχνά δεν προκαλεί συμπτώματα στα αρχικά στάδια. Γι’ αυτό είναι σημαντικό να:

  • Μιλάς με τον γιατρό σου εάν έχεις χρόνιο βήχα, δύσπνοια, πόνο στο στήθος ή αιμόπτυση.
  • Αν είσαι σε ομάδα υψηλού κινδύνου (π.χ. πρώην ή νυν καπνιστής άνω των 50), εξετάσου με αξονική τομογραφία χαμηλής δόσης (low-dose CT). Είναι απλή και σώζει ζωές.

Στατιστικά, όταν ο καρκίνος διαγνωστεί στα πρώιμα στάδια, οι πιθανότητες επιβίωσης αυξάνονται σημαντικά.

Χειρουργική Αντιμετώπιση ή « Όταν η αφαίρεση σημαίνει ελπίδα»

Αν ο καρκίνος εντοπιστεί νωρίς και είναι χειρουργήσιμος:

  • Η επέμβαση στοχεύει στην πλήρη αφαίρεση του όγκου και του πάσχοντος μέρους του πνεύμονα.
  • Πλέον, οι περισσότερες επεμβάσεις γίνονται με ελάχιστα επεμβατικές τεχνικές, μειώνοντας την ταλαιπωρία για τον ασθενή.
  • Μετεγχειρητικά, μπορεί να χρειαστεί συμπληρωματική θεραπεία, αλλά η χειρουργική συχνά αποτελεί καθοριστικό βήμα για ίαση.
kianous-stauros2.jpg?v=0
kianous-stauros3.jpg?v=0

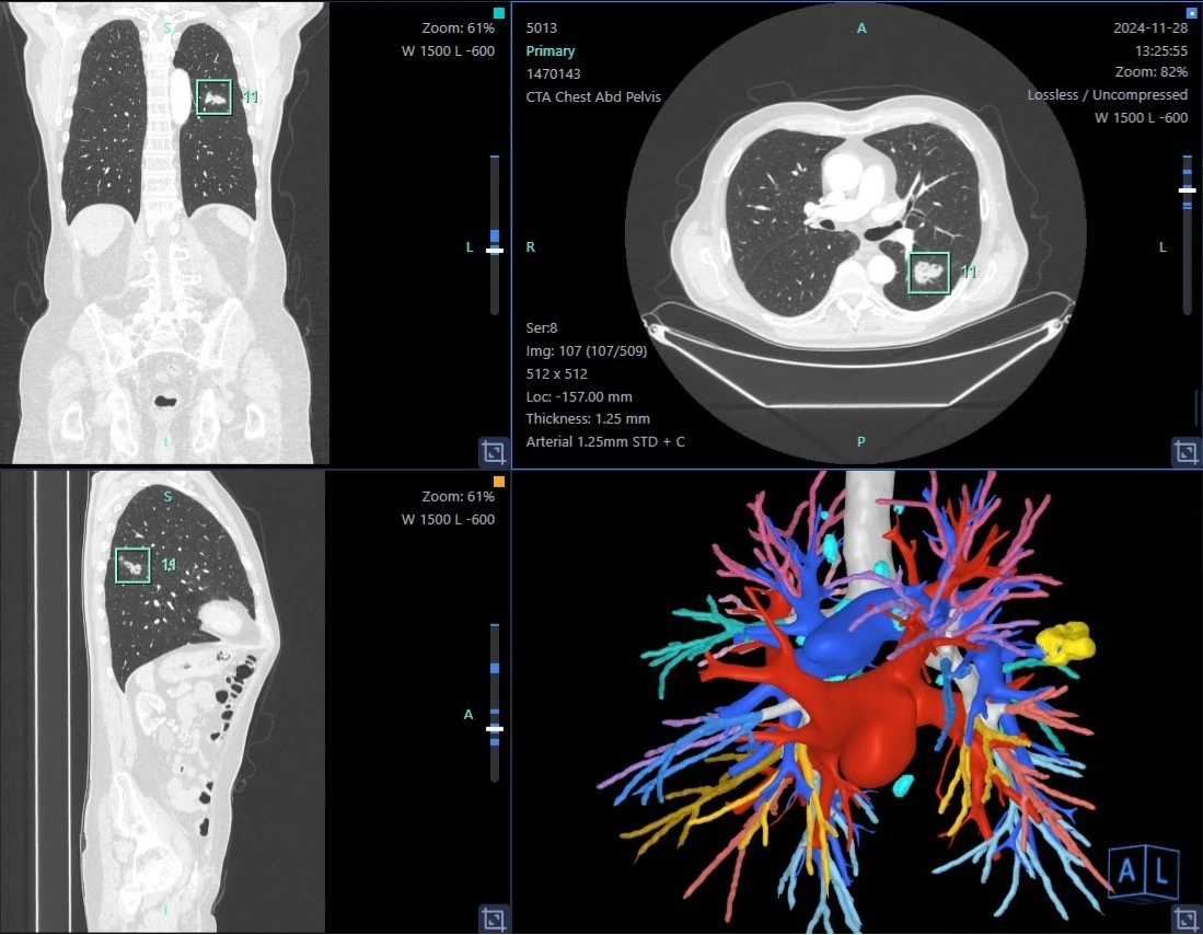
Στην Κλινική Euromedica-Κυανούς Σταυρός μπορούν να σας καθοδηγήσουν και να σας υποστηρίξουν σε όλα τα βήματα, από την πρόληψη στην έγκαιρη διάγνωση και την χειρουργική αντιμετώπιση. Η Θωρακοχειρουργική Κλινική του Κυανού Σταυρού χρησιμοποιεί τεχνολογίες αιχμής στην παρακολούθηση, ταυτοποίηση και αντιμετώπιση μονήρων πνευμονικών όζων.

kianous-stauros4.jpg?v=0

Εφόσον κριθεί και αποφασιστεί στα πλαίσια του Ογκολογικού Συμβουλίου ότι ο πνευμονικός όζος πρέπει να αφαιρεθεί εφαρμόζεται σε όλους ανεξαιρέτως τους ασθενείς η τεχνική 3D-LU.M.I.N.A. (3D - LUng Mapping with Icg and Navigation Assistance).

Η τεχνική εντοπισμού μονήρους πνευμονικού όζου με συνδυασμό τρισδιάστατης (3D) αξονικής απεικόνισης και έγχυσης ινδοκυανίνης (ICG – Indocyanine Green) είναι μια καινοτόμος και ιδιαίτερα αποτελεσματική προσέγγιση που εφαρμόζεται κυρίως σε ελάχιστα επεμβατικές θωρακοχειρουργικές τεχνικές.

  1. Προσχεδιασμός με Τρισδιάστατη CT Απεικόνιση:
    • Πραγματοποιείται υψηλής ανάλυσης αξονική τομογραφία θώρακος (CT).
    • Τα δεδομένα ανασυντίθενται σε τρισδιάστατο μοντέλο των πνευμονικών δομών, περιλαμβάνοντας αγγεία, βρόγχους και τον όζο.
    • Αυτό επιτρέπει τον ακριβή υπολογισμό της θέσης του όζου σε σχέση με ανατομικά ορόσημα (π.χ. αγγεία, λοβοί, βρογχοπνευμονικά τμήματα).
  2. Διεγχειρητική Χρήση Ινδοκυανίνης (ICG):
    • Η ICG μπορεί να χορηγηθεί είτε: α) ενδοφλέβια, για να αναδείξει την αιμάτωση/περιφέρεια ενός τμήματος, β) ή τοπικά μέσω βρογχοσκοπικής έγχυσης, απευθείας γύρω από τον όζο (ιδιαίτερα σε δύσκολες περιοχές).
    • Κατά τη διάρκεια της επέμβασης, χρησιμοποιείται ειδική camera NIR (Near Infrared) για να ανιχνεύσει τη φθορίζουσα ουσία και να απεικονίσει την περιοχή.
  3. Συνδυασμός Δεδομένων σε Πραγματικό Χρόνο:
    • Το προεγχειρητικό 3D μοντέλο "συγχωνεύεται" με την διεγχειρητική εικόνα (κάποιες φορές μέσω τεχνολογίας επαυξημένης πραγματικότητας - augmented reality ή λογισμικών πλοήγησης).
    • Ο χειρουργός γνωρίζει με μεγάλη ακρίβεια πού βρίσκεται ο όζος ακόμα και αν είναι μη ψηλαφητός.

Πλεονεκτήματα:

  • Yψηλή ακρίβεια στον εντοπισμό μικρών ή εν τω βάθει πνευμονικών όζων.
  • Σεβασμός στον πνευμονικό ιστό.
  • Kαθοδήγηση τμηματεκτομής ή σφηνοειδούς εκτομής.
  • Δυνατότητα εντοπισμού πολλαπλών όζων.
  • Μείωση κινδύνου μη ανεύρεσης του πνευμονικού όζου (missed nodule) ή ανεπαρκούς εκτομής.

Εφαρμογές:

  • Σε πρώιμους καρκίνους του πνεύμονα.
  • Σε αλλοιώσεις δίκην θολής υάλου (GGO, ground-glass opacity).
  • Σε λεμφαδενικό καθαρισμό ή δειγματοληπτικό έλεγχο
  • Σε υποτροπές ή μεταστάσεις από άλλους όγκους.
  • Σε υψηλού κινδύνου ασθενείς όπου απαιτείται ελάχιστα επεμβατική προσέγγιση.

Η 3D-LUMINA που εφαρμόζεται αποκλειστικά στον Κυανού Σταυρό είναι μια υβριδική τεχνική απεικόνισης που συνδυάζει τρισδιάστατη ανασύνθεση πνευμονικών δομών με φθορίζουσα καθοδήγηση μέσω ινδοκυανίνης.

kianous-stauros5.jpg?v=0

Μετατρέπει την αόρατη ανατομία σε έναν φωτεινό χάρτη — εκεί όπου η τεχνολογία, η ιατρική και η τέχνη συναντιούνται. Ο καρκίνος του πνεύμονα δεν είναι πλέον άγνωστος ή ανίκητος. Με πρόληψη, επαγρύπνηση και τις σωστές ιατρικές επιλογές, μπορεί να αντιμετωπιστεί αποτελεσματικά – ιδίως όταν ανακαλύπτεται νωρίς. Μην αμελήσετε τα σημάδια, μιλήστε με τον γιατρό σας και προστατέψτε την πιο πολύτιμη σας ανάσα: τη ζωή.

nikolaos-mparmpetakis.jpg?v=0

Δρ Νικόλαος Γ. Μπαρμπετάκης, MD,PhD, FEBTS,
Χειρουργός Θώρακος,
Διευθυντής Θωρακοχειρουργικής Κλινικής Κυανούς Σταυρός

Loader